Viruela del Mono o Símica

El mundo está en alerta por la notificación de casos confirmados de viruela símica o viruela del mono, en países no endémicos.

Atentos a las novedades publicadas en el boletín epidemiológico y un informe publicado por la OMS, es que queremos mantenerte bien informado.

¿Qué es la Viruela Símica?
La viruela símica es una zoonosis (enfermedad viral que se transmite de animales a humanos) que puede contagiarse entre humanos. Es endémica en regiones rurales de la selva tropical de la cuenca del Congo y el África occidental.
Recientemente se han reportado casos en Australia, Bélgica, Canadá, Francia, Alemania, Italia, Países Bajos, Portugal, España, Suecia, Reino Unido y Estados Unidos.

En Argentina se confirmaron algunos casos desde comienzo de año.

Los animales que pueden transmitirla son: primates, ratas gigantes, ardillas, lirones. El contagio se produciría por contacto directo con la sangre, los líquidos corporales o las lesiones de la piel o las mucosas de animales infectados.

La transmisión de persona a persona puede producirse por contacto con secreciones infectadas de las vías respiratorias o lesiones cutáneas de una persona infectada, o con objetos contaminados recientemente con los fluidos del paciente o materiales de la lesión.

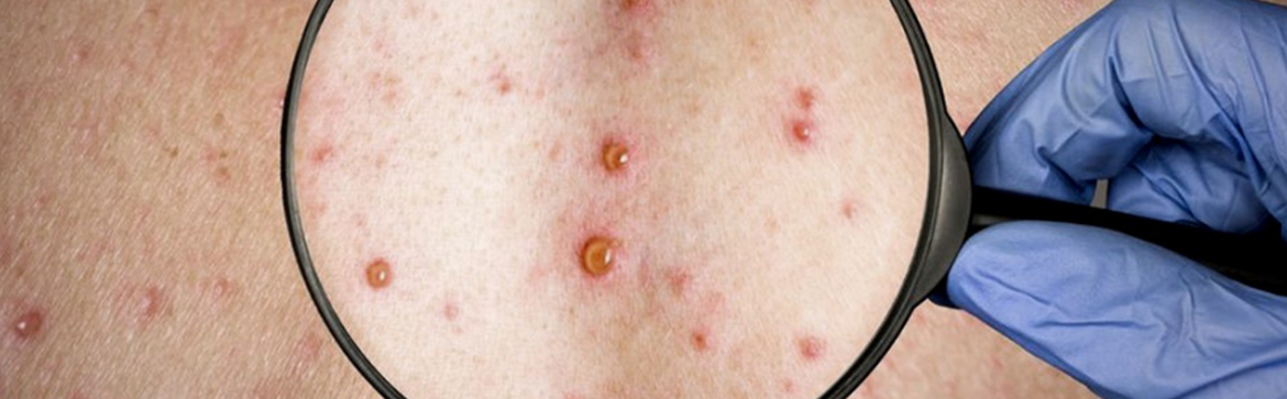
Produce síntomas parecidos a los que se observaban en los pacientes con viruela en el pasado, aunque menos graves:

 

   Fase

   Duración

   Características

  Incubación

  10-14 días

Asintomática

  Invasión

  1-5 días

Síntomas inespecíficos:
Fiebre, Cefalea
Astenia extrema, mialgia, linfadenopatías

  Erupción cutánea

  Hasta 7 días
  Hasta 7 días

  De 7 a 14 días

Máculas, pápulas, vesículas
Pústulas
Costras (dejan cicatriz)


El diagnóstico definitivo de la viruela símica solo se puede establecer mediante pruebas que tienen que realizarse en laboratorios especializados.

Los nacidos hasta 1980 pueden tener cierta protección por la vacuna contra la viruela. Cuentan con inmunidad cruzada.

Contagio: se puede dar por el contacto estrecho de piel-piel, boca-boca, genital o superficies contaminadas. El preservativo no evita el contagio.

Ante la sospecha de haberse contagiado, consultar telefónicamente con un médico. Si tenes que trasladarte, usar barbijo, guantes y realizar higiene reiterada en manos.

Cuidados en casa: aislarse de los demás convivientes, incluidas las mascotas, no compartir toallas, sábanas, lavarropas, elementos de cocina y baño, mate, vasos, cubiertos, etc .

Para mayor información consultar haciendo click aquí.

👉 Recomendaciones:

Toda persona que presente síntomas compatibles (en especial erupciones) y antecedentes de viaje a zonas donde está habiendo casos y/o supone alguna exposición de riesgo con casos sospechosos, probables o confirmados, deberá:

📍Tomar medidas de aislamiento social (no concurrir a escuela, trabajo, eventos sociales, etc.), evitar que otras personas tomen contacto con sus lesiones.

📍Implementar medidas de protección respiratoria (uso adecuado de barbijo, ambientes ventilados y distancia de las otras personas)

📍Realizar la consulta con el sistema de salud de forma inmediata (contactarse con el Servicio de Emergencias y Urgencias (SEU) o a través del servicio de Telemedicina, quienes orientarán según el caso)


Fuente:

Dirección Médica Obra Social Luis Pasteur